Realizamos
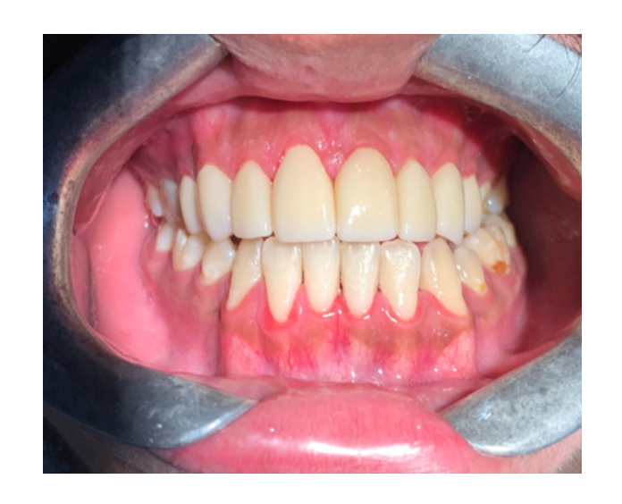
diseño de sonrisa
¡Llama!
Dr. Luis Díaz Barriga Salgado: Cédula Profesional UNAM 496671 y Posgrado U.A.N.L. 0000560
Dra. Leticia Ibáñez Villarruel: Cédula Profesional UNAM 0753947

Título de diapositiva
Escriba el subtítulo aquíBotón
Título de diapositiva
Escriba el subtítulo aquíBotón
Ortodoncia y Odontología Pediátrica somos una clínica especializada en brindar atención al cuidado de su salud bucal en Córdoba, Veracruz. 44 años a su servicio para brindarle una sonrisa segura y confiable.
Nuestro equipo de ortodoncistas y odontólogos pediátricos altamente calificados y certificados en el área, bajo la supervisión de los doctores Luis Díaz Barriga Salgado y Leticia Ibáñez Villarruel, quienes contamos con todas las credenciales para diagnosticar y proporcionar el tratamiento adecuado para cada paciente.
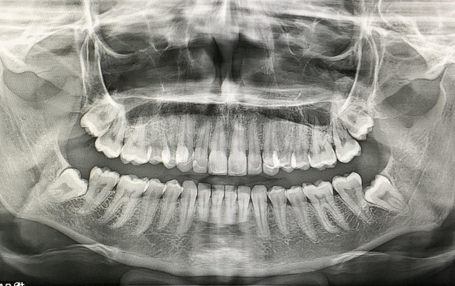
Contamos con equipo radiológico de tomografía dental, siempre a la vanguardia para diagnosticar cada problema dentofacial. Atendemos desde recién nacidos, hasta adultos mayores a los cuales se les trata con profesionalismo, calidad, experiencia, honestidad y puntualidad.
Llama, tenemos como meta preservar la salud bucal de cada persona. Te esperamos.
Servicio de
tomografía dental
a todos los dentistas.
Se entregan resultados inmediatos en USB.
Promoción permanente
Tomografía maxilar y mandibular con diagnóstico clínico y radiográfico
por sólo $1500.00 consulta incluida.
Se entrega en USB.
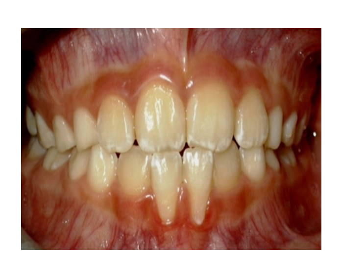
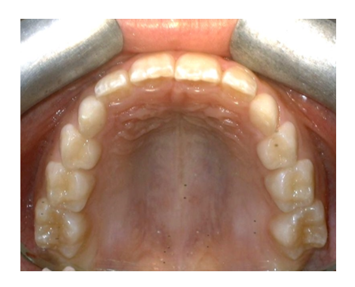
Odontología
estética, infantil y restauradora
Expertos en:
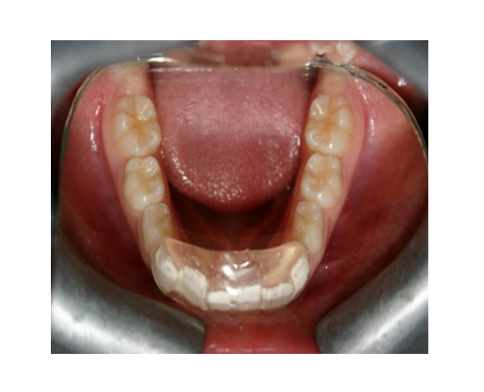
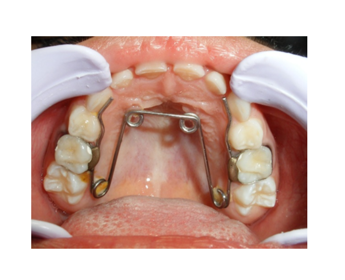
- Ortodoncia tradicional y lingual
- Diagnósticos ortodóncicos computarizados
- Invisalign, ortodoncia con guardas transparentes
- Coronas estéticas sin metal de zirconia
- Resinas de última generación
- Diseño de sonrisa y blanqueamientos
- Odontología preventiva
- Todo tipo de RX dentales
- Cefalométricas
- Panorámicas
- Tomografías
- Trabajamos con seguros dentales
- Kobe-Dentalia
- Centauro
- Odontoprev
Título de diapositiva
Escriba el subtítulo aquíBotón
Título de diapositiva
Escriba el subtítulo aquíBotón
Título de diapositiva
Escriba el subtítulo aquíBotón
Título de diapositiva
Escriba el subtítulo aquíBotón
Título de diapositiva
Escriba el subtítulo aquíBotón
Título de diapositiva
Escriba el subtítulo aquíBotón
Título de diapositiva
Escriba el subtítulo aquíBotón
Título de diapositiva
Escriba el subtítulo aquíBotón
Título de diapositiva
Escriba el subtítulo aquíBotón
Título de diapositiva
Escriba el subtítulo aquíBotón
Título de diapositiva
Escriba el subtítulo aquíBotón
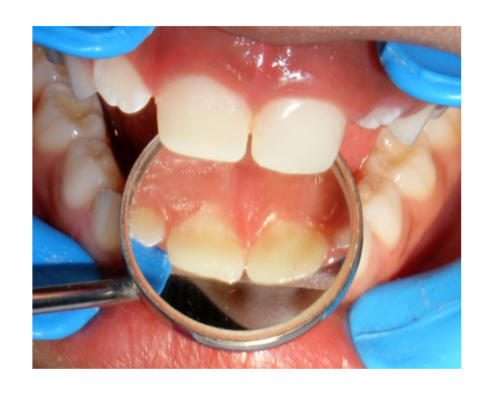
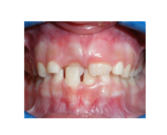
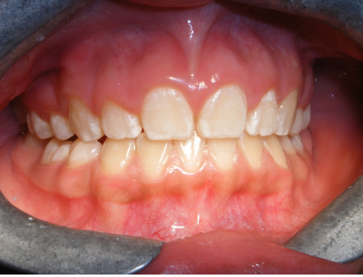
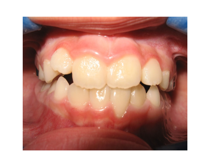
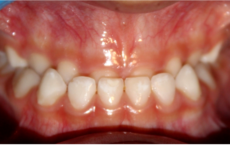
Mordida Cruzada anterior unidental
Título de diapositiva
Escriba el subtítulo aquíBotón
Título de diapositiva
Escriba el subtítulo aquíBotón
Título de diapositiva
Escriba el subtítulo aquíBotón
Título de diapositiva
Escriba el subtítulo aquíBotón
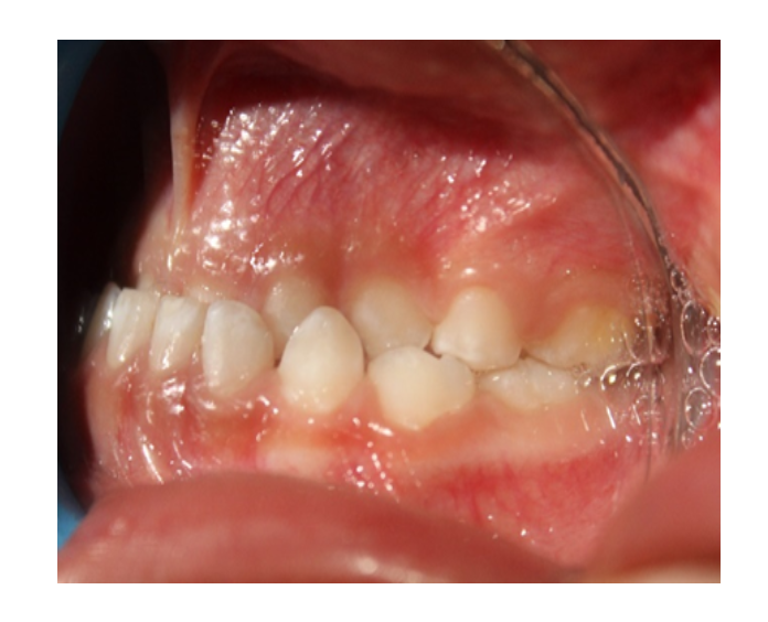
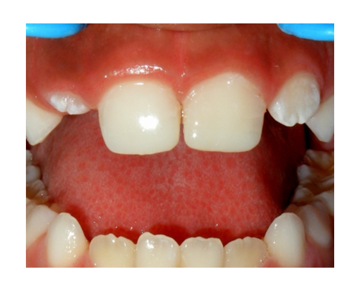
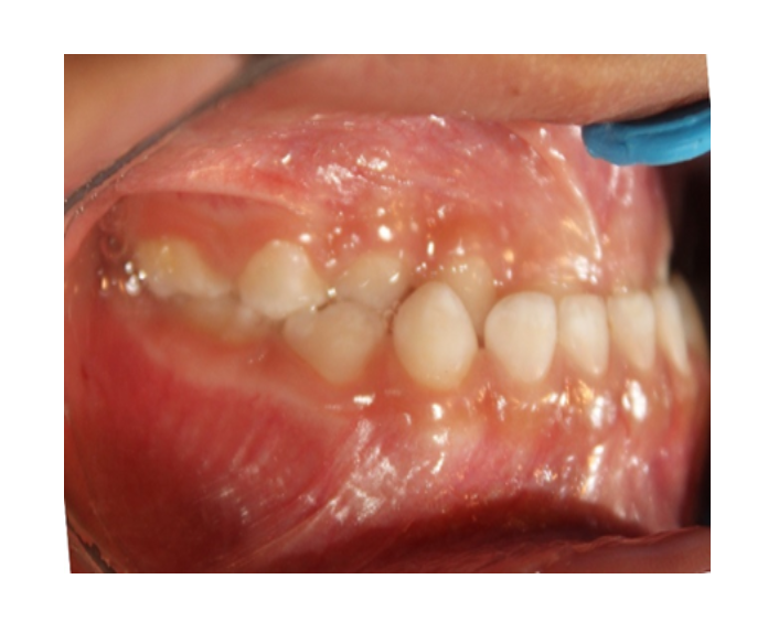
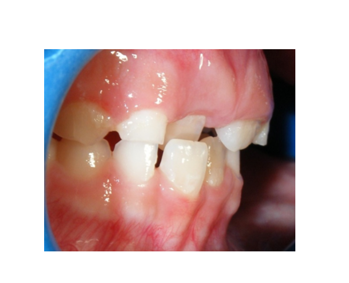
Mordida Cruzada posterior unilateral
Título de diapositiva
Escriba el subtítulo aquíBotón
Título de diapositiva
Escriba el subtítulo aquíBotón
Título de diapositiva
Escriba el subtítulo aquíBotón
Título de diapositiva
Escriba el subtítulo aquíBotón
Título de diapositiva
Escriba el subtítulo aquíBotón
Título de diapositiva
Escriba el subtítulo aquíBotón
Título de diapositiva
Escriba el subtítulo aquíBotón
Título de diapositiva
Escriba el subtítulo aquíBotón
Título de diapositiva
Escriba el subtítulo aquíBotón
Título de diapositiva
Escriba el subtítulo aquíBotón
Título de diapositiva
Escriba el subtítulo aquíBotón
Título de diapositiva
Escriba el subtítulo aquíBotón
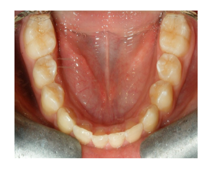
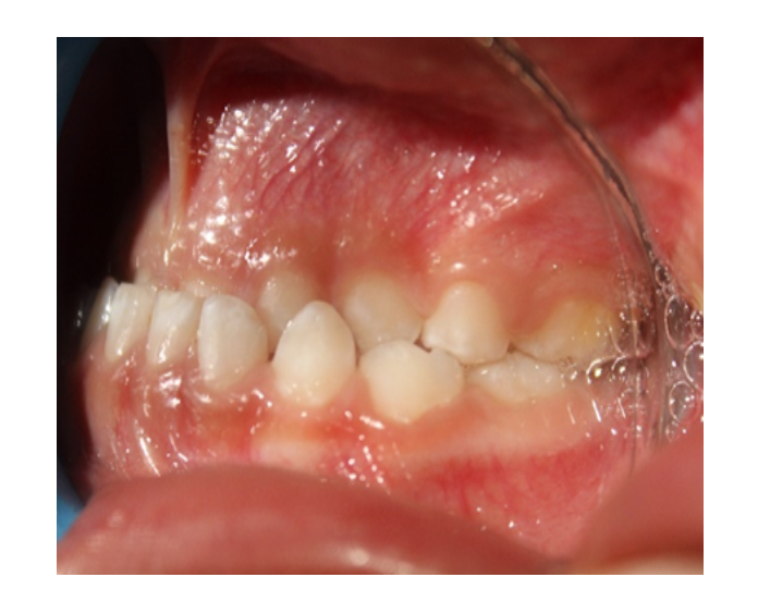
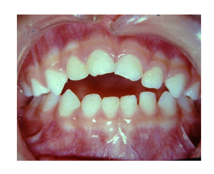
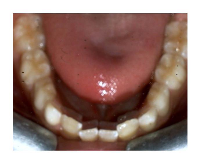
Mordida cruzada posterior bilateral
Título de diapositiva
Escriba el subtítulo aquíBotón
Título de diapositiva
Escriba el subtítulo aquíBotón
Título de diapositiva
Escriba el subtítulo aquíBotón
Título de diapositiva
Escriba el subtítulo aquíBotón
Título de diapositiva
Escriba el subtítulo aquíBotón
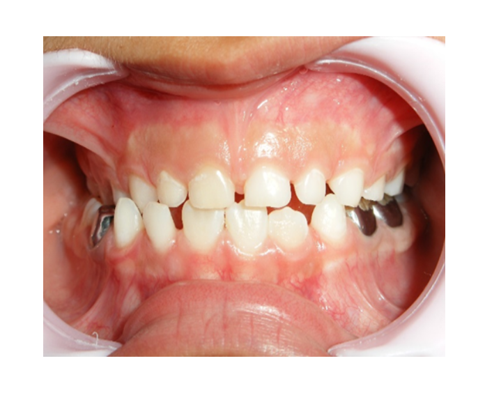
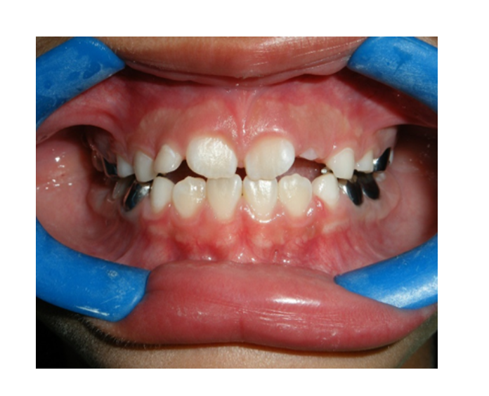
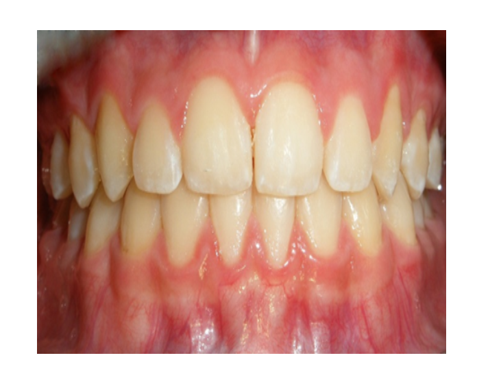
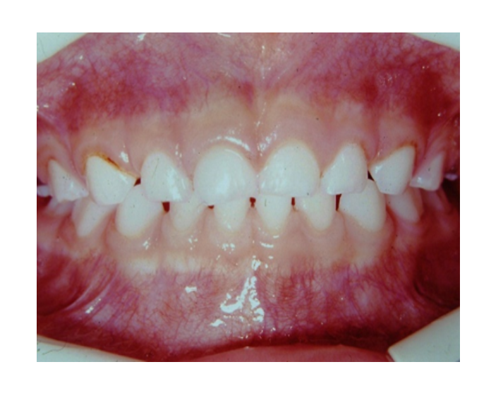
Clase I Protrusión
dental
Título de diapositiva
Escriba el subtítulo aquíBotón
Título de diapositiva
Escriba el subtítulo aquíBotón
Título de diapositiva
Escriba el subtítulo aquíBotón
Título de diapositiva
Escriba el subtítulo aquíBotón
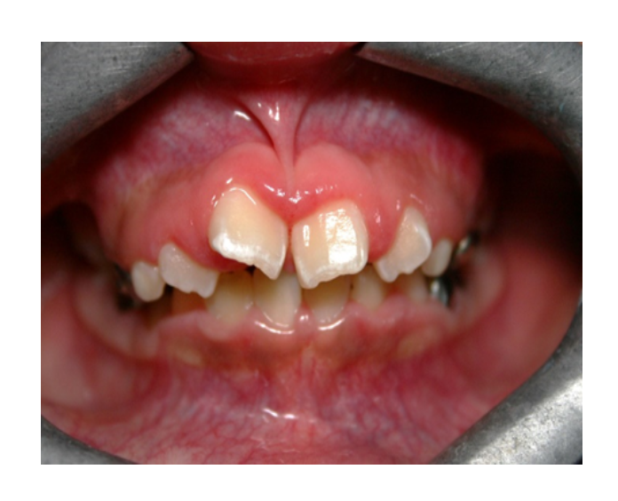
Chupadedos
Título de diapositiva
Escriba el subtítulo aquíBotón
Título de diapositiva
Escriba el subtítulo aquíBotón
Título de diapositiva
Escriba el subtítulo aquíBotón
Título de diapositiva
Escriba el subtítulo aquíBotón
Título de diapositiva
Escriba el subtítulo aquíBotón
Título de diapositiva
Escriba el subtítulo aquíBotón
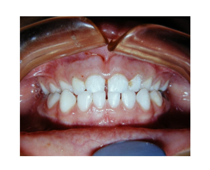
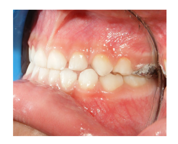
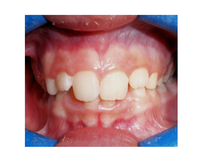
Ortodoncia
temprana
Ortodoncia en
Adultos
Título de diapositiva
Escriba el subtítulo aquíBotón
Título de diapositiva
Escriba el subtítulo aquíBotón
Título de diapositiva
Escriba el subtítulo aquíBotón
Título de diapositiva
Escriba el subtítulo aquíBotón
Título de diapositiva
Escriba el subtítulo aquíBotón
Título de diapositiva
Escriba el subtítulo aquíBotón
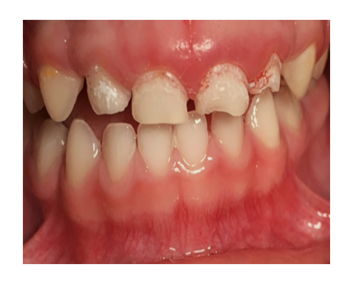
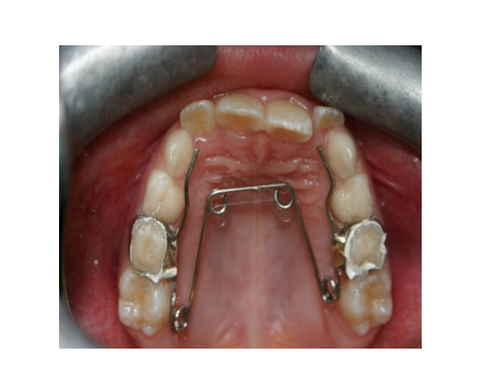
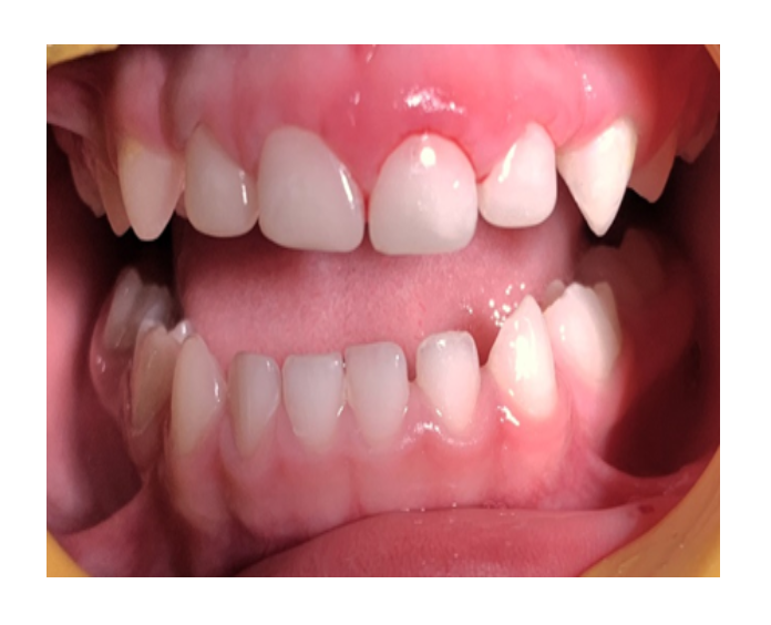
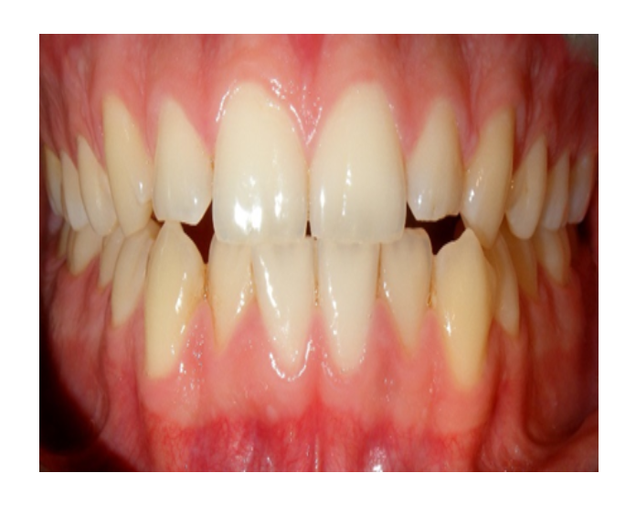
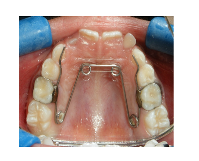
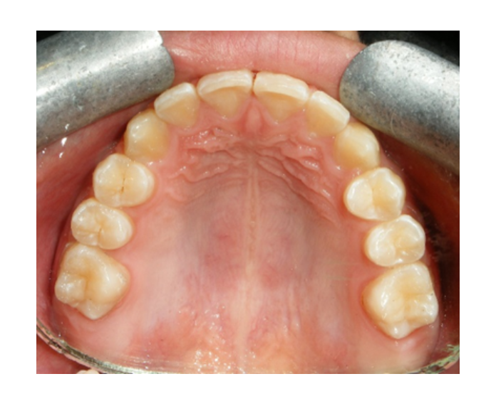
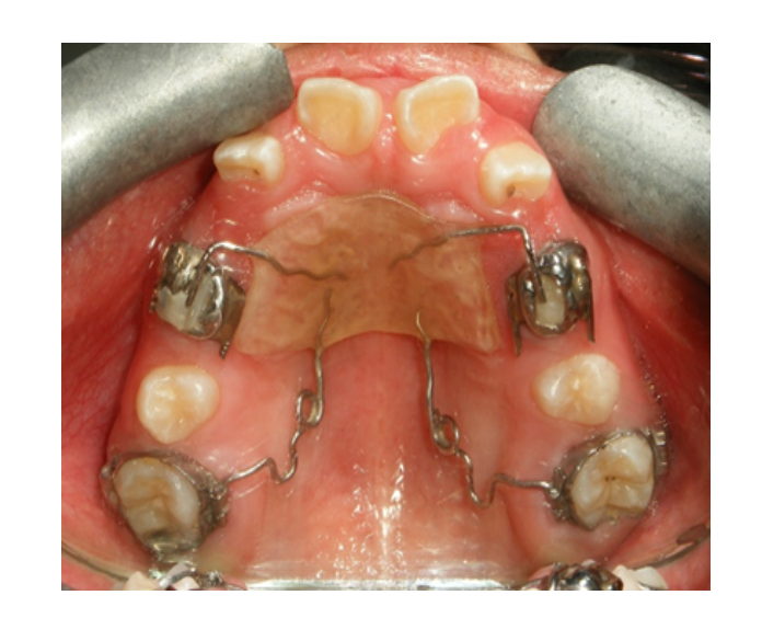
Ortopedia facial
temprana
Título de diapositiva
Escriba el subtítulo aquíBotón
Título de diapositiva
Escriba el subtítulo aquíBotón
Título de diapositiva
Escriba el subtítulo aquíBotón
Título de diapositiva
Escriba el subtítulo aquíBotón
Título de diapositiva
Escriba el subtítulo aquíBotón
Título de diapositiva
Escriba el subtítulo aquíBotón
Título de diapositiva
Escriba el subtítulo aquíBotón
Título de diapositiva
Escriba el subtítulo aquíBotón
Título de diapositiva
Escriba el subtítulo aquíBotón
Título de diapositiva
Escriba el subtítulo aquíBotón
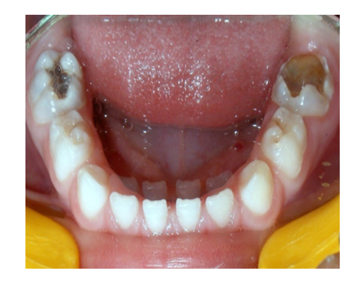
Odontología
infantil
Título de diapositiva
Escriba el subtítulo aquíBotón
Título de diapositiva
Escriba el subtítulo aquíBotón
Selladores
/Resinas
Título de diapositiva
Escriba el subtítulo aquíBotón
Título de diapositiva
Escriba el subtítulo aquíBotón
Título de diapositiva
Escriba el subtítulo aquíBotón
Título de diapositiva
Escriba el subtítulo aquíBotón
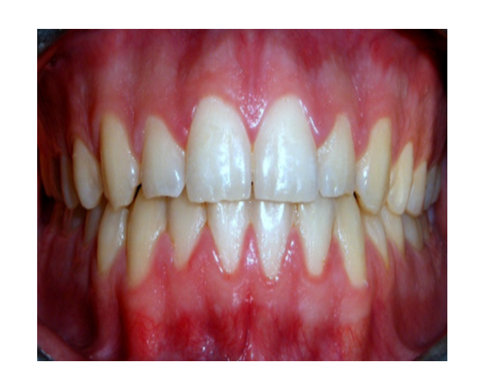
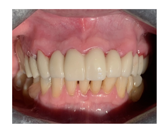
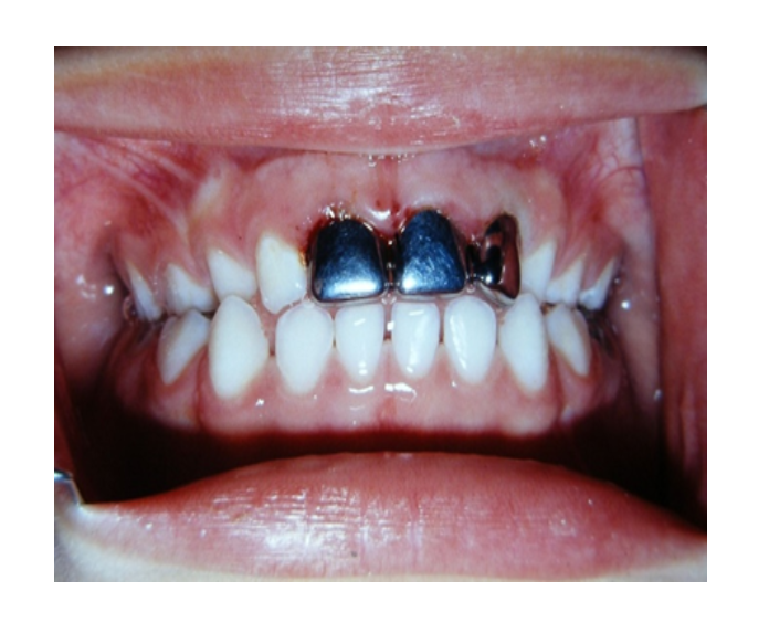
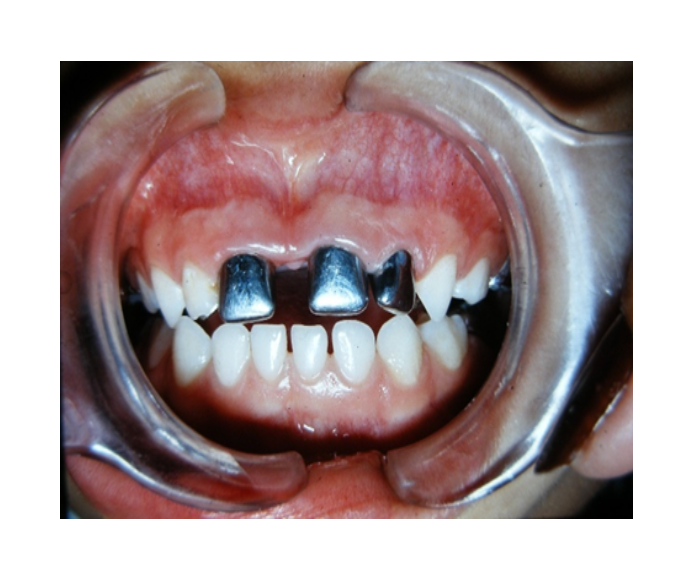
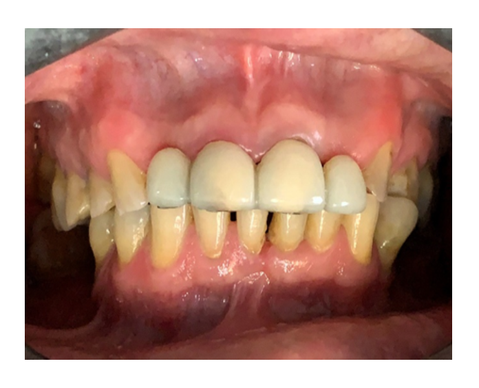
Prótesis fija de zirconia
sin metal
Título de diapositiva
Escriba el subtítulo aquíBotón
Título de diapositiva
Escriba el subtítulo aquíBotón
Título de diapositiva
Escriba el subtítulo aquíBotón
Título de diapositiva
Escriba el subtítulo aquíBotón
Título de diapositiva
Escriba el subtítulo aquíBotón
Título de diapositiva
Escriba el subtítulo aquíBotón
Título de diapositiva
Escriba el subtítulo aquíBotón
Título de diapositiva
Escriba el subtítulo aquíBotón
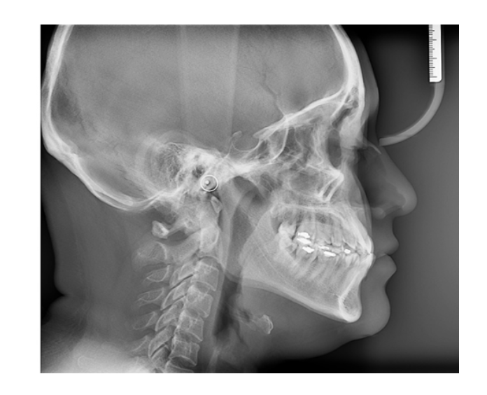
Tomógrafo Dental
Ray Scan
Tomógrafo Dental
Contact Us
Gracias por contactarnos.
Nos pondremos en contacto con usted tan pronto como sea posible
Ups, hubo un error al enviar tu mensaje.
Por favor, inténtelo de nuevo más tarde


